NEWS ALERT Radiographic Sagittal Alignment and Kinetic Chain Alterations in Geriatric Scoliosis Patients
Clear Life Scoliosis And Chiropractic Center
  • Home
    • Comprehensive Services in Charlotte, NC
    • Scoliosis Treatment in Charlotte
    • Corrective Chiropractic Care
    • Peer-Reviewed Research
    • Schedule your Consultation
    • Testimonials
    • Trusted Partners
  • About
    • About Dr. Justin Dick
    • What Research Has Dr. Justin Conducted
    • Why Clear Life is Different
    • Where the Research Supports Care
    • John Whelan
    • In The Press
  • Services
    • Scoliosis Care
    • Personal Injury
    • Spinal Corrective Care
    • Wellness Care
    • Research
    • Contact
  • Personal Injury
    • Personal Injury
    • Car Accident Chiropractor
    • Whiplash
    • Herniated Disc Treatment After MVC
    • Personal Injury Rehab
    • Personal Injury Q & A
    • Attorney Referral
    • Understanding Car Accident Injuries: What to Know First
    • Whiplash Explained: Symptoms, Mechanisms, and Recovery
    • Delayed Symptoms After a Car Accident
    • Stress X-Rays After a Car Accident
    • Neck Pain, Headaches, and Dizziness After a Collision
    • Mid-Back and Low Back Pain After a Car Accident
    • The 3 Main Injuries a Spine Can Have After a Car Accident
    • Imaging After a Car Accident: When X-Rays, MRI, or Other Studies May Be Considered
    • Medical Documentation After a Car Accident
    • Pre-Existing Degeneration vs New Injury vs Aggravation After a Crash
    • What Is Whiplash — and What Is Whiplash-Associated Disorder?
    • Personal Injury Research Hub: What the Evidence Actually Shows
    • How Long Does It Take to See Results From Chiropractic Care for Personal Injury?
    • Continuing Legal Education: Spinal Injury in Motor Vehicle Collision Cases
  • Scoliosis
    • Why The CLEAR Institute, NOT General Chiropractic and Physical Therapy Are Not Scoliosis Specific
    • Scoliosis Care
    • Understanding Adult Scoliosis
    • Scoliosis Results
    • Non-Surgical Scoliosis Treatment
    • Scoliosis Bracing and Exercises
    • Scoliosis Treatment Process
    • Scoliosis Q & A
    • Understanding Your Scoliosis Pattern
    • Movement and Adaptation in Scoliosis
    • Cervical Alignment and Whole-Spine Balance
    • Imaging and Measurement in Scoliosis
    • Progression, Compensation, and Change Over Time
    • Conservative Care: What It May and May Not Change
    • Adolescent Scoliosis
    • Bracing, Rehabilitation, and Monitoring
    • When Surgery Is Considered
    • Teen Scoliosis: What Parents Should Know
    • Adult Scoliosis: Pain, Balance, and Function
    • Research Hub: What the Evidence Actually Shows
    • Post-Traumatic and Personal Injury Scoliosis Considerations
    • Scoliosis FAQ
    • Labyrinthine Righting Reflex — Definition
    • ScoliBrace — Definition
    • CLEAR Institute Protocol — Definition
    • Lenke Classification — Scoliosis Definition
    • Cobb Angle — Clinical Definition
    • What Happens If We Do Nothing About Scoliosis?
    • Scoliosis Reduction Charlotte
    • PHYSICIAN REFERRAL — SCOLIOSIS
    • What a Brace Cannot Do for Scoliosis
    • Scoliosis Screening in Charlotte: What Parents Need to Know
    • Scoliosis Awareness: What Every Family Should Know
    • Scoliosis Care for Fort Mill Families
    • Scoliosis Awareness Month: A Reference Guide for Patients and Families
    • Scoliosis Screening: What It Is, How It Works, and What to Do Next
    • Adult Scoliosis in Charlotte: Evaluation, Options, and Honest Answers
    • Conservative Scoliosis Care: A Reference Guide to Non-Surgical Options
    • Scoliosis Treatment in South Charlotte NC
    • Scoliosis Treatment in Steele Creek
    • Scoliosis Treatment Near Lake Wylie
    • Scoliosis Treatment in Fort Mill, SC
    • Scoliosis Treatment in Balantyne
    • Scoliosis Treatment Near Belmont, NC
    • Scoliosis Treatment Near Gastonia NC
    • Scoliosis Treatment Near Rock Hill SC
    • Can Chiropractic Care Help With Scoliosis Treatment?
    • What Are the Best Exercises for Scoliosis? What the Evidence Actually Shows
    • Can I Use Insurance to Cover Chiropractic Care for Scoliosis?
    • How Do I Choose the Best Chiropractor for Scoliosis Treatment?
    • Chiropractic Package Deals and Pricing for Scoliosis Treatment: What to Know
  • Research
    • Published Research
    • Radiographic Sagittal Alignment and Neurological Changes Following Conservative Cervical Rehab
    • Non-Surgical Multimodal Approach to AIS
    • Retrospective Cross-Sectional Analysis of Abnormal Cervical Mechanics with Scoliosis
    • Refractory Lumbar Pain following MVA in a Geriatric Patient
    • Long-Term Scoliosis Correction|Justin M. Dick, DC
    • Reduction of AIS Utilizing the Labyrinthine Righting Reflex
    • Improved Health Outcomes in a Military Veteran
    • Radiographic Sagittal Alignment and Kinetic Chain Alterations in Geriatric Patients with Scoliosis: A Case Series
    • What Is Skolios
  • Podcasts
    • Podcasts
    • Blogs
  • Contact
    • Contact
    • Clinical Care in Our Clinic
    • Learn More About Our Scoliosis Treatment
    • Corrective Care
    • See Our Research
  • Book Now

Blogs

Educational Resources for Our Patients

Research

Recent Articles

Why Watchful Waiting Fails Scoliosis Patients and What the Research Actually Says

Why Watchful Waiting Fails Scoliosis Patients and What the Research Actually Says

May 12, 2026
Beyond Required CME: How We Identify Real Knowledge Gaps

Beyond Required CME: How We Identify Real Knowledge Gaps

May 9, 2026
Dr. Justin Dick Presents Cervical Mechanics Research at IRAPS 2026, Sherman College of Chiropractic

Dr. Justin Dick Presents Cervical Mechanics Research at IRAPS 2026, Sherman College of Chiropractic

May 3, 2026
Why Watchful Waiting Fails Scoliosis Patients and What the Research Actually Says image

Why Watchful Waiting Fails Scoliosis Patients and What the Research Actually Says

Why Watchful Waiting Fails Scoliosis Patients and What the Research Actually SaysBy Dr. Justin M. Dick, DC —...
Justin Dick
May 12, 2026
Beyond Required CME: How We Identify Real Knowledge Gaps image

Beyond Required CME: How We Identify Real Knowledge Gaps

Beyond Required CME: How We Identify Real Knowledge Gaps Doctors Magazine recently asked clinicians how they...
Justin Dick
May 9, 2026
Dr. Justin Dick Presents Cervical Mechanics Research at IRAPS 2026, Sherman College of Chiropractic image

Dr. Justin Dick Presents Cervical Mechanics Research at IRAPS 2026, Sherman College of Chiropractic

Dr. Justin Dick Presents Cervical Mechanics Research at IRAPS 2026, Sherman College of Chiropractic Dr. Justin M....
Justin Dick
May 3, 2026
From Personal Adversity to Patient Hope: Dr. Justin Dick’s Mission in Non-Surgical Scoliosis Care image

From Personal Adversity to Patient Hope: Dr. Justin Dick’s Mission in Non-Surgical Scoliosis Care

At Clear Life Scoliosis And Chiropractic Center, our mission has always been bigger than spinal measurements alone....
Justin Dick
April 12, 2026
My Own Experience With Trauma and Recovery image

My Own Experience With Trauma and Recovery

Scoliosis Treatment in Charlotte, NC: The Story Behind Clear Life Scoliosis And Chiropractic Center
Justin Dick
April 12, 2026
Clear Life Scoliosis Featured in National Publication for Groundbreaking Scoliosis Research image

Clear Life Scoliosis Featured in National Publication for Groundbreaking Scoliosis Research

Written by: Dr. Justin Dick, DC Clinical focus: Non-surgical scoliosis evaluation, spinal biomechanics, and...
Justin Dick
April 12, 2026
The Role of the Labyrinthine Righting Reflex in Scoliosis: A Neurological Perspective image

The Role of the Labyrinthine Righting Reflex in Scoliosis: A Neurological Perspective

How a primitive inner-ear reflex shapes spinal alignment, nd what that means for your care.
Justin Dick
April 5, 2026
Does Scoliosis Affect Injury Risk During a Car Accident? Biomechanical Considerations image

Does Scoliosis Affect Injury Risk During a Car Accident? Biomechanical Considerations

Scoliosis, a complex spinal deformity, introduces unique biomechanical considerations that can influence the...
Justin Dick
March 30, 2026
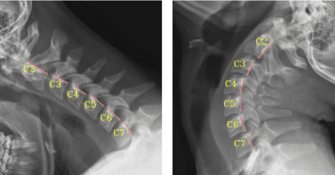
Kinetic Chain Dysfunction in Geriatric Scoliosis image

Kinetic Chain Dysfunction in Geriatric Scoliosis

Kinetic Chain Dysfunction in Geriatric Scoliosis: What the Research Shows
Justin Dick
March 25, 2026
What Happens to the Cervical Spine During a Motor Vehicle Collision? Understanding Whiplash Biomechanics image

What Happens to the Cervical Spine During a Motor Vehicle Collision? Understanding Whiplash Biomechanics

Motor vehicle collisions (MVCs) are a leading cause of cervical spine injuries, commonly known as whiplash. The...
Justin Dick
March 22, 2026
  • ←
  • 1
  • 2
  • 3
  • 4
  • 5
  • →
  • Clear Life Scoliosis and Chiropractic Center

    8814 Rachel Freeman Wy, Suite 103 Charlotte, NC 28278 United States
    View on Google Maps
  • Privacy Policy
  • Terms And Conditions
  • SpineCor
  • Scoliosis Activity Suit
  • Clear Scoliosis Institute
  • Scolibrace
  • NASS
  • SOSORT

Contact

  • Phone:
    980.368.0766

  • Fax:
    704.368.4308

  • Email:
    office@clearlifescoliosis.com

Site Powered By Jane Websites

© 2026 Clear Life Scoliosis And Chiropractic Center. All Rights Reserved. | Login