What Is Scoliosis? – Clinical Overview

 

Scoliosis is a structural spinal condition characterized by an abnormal lateral curvature of the spine, forming an "S" or "C" shape when viewed from the front or back (anteroposterior view). It is most commonly diagnosed in children and adolescents but can affect adults as well.

Types of Scoliosis

  1. Idiopathic Scoliosis
    The most common form of scoliosis, especially in adolescents. “Idiopathic” means the exact cause is unknown, though genetic and environmental factors may contribute.

  2. Congenital Scoliosis
    Present at birth, this form results from spinal malformations that occur during fetal development.

  3. Neuromuscular Scoliosis
    Arises secondary to neurological or muscular conditions such as cerebral palsy, muscular dystrophy, or spinal cord trauma.

Free Scoliosis Screening Online Research

Understanding and Navigating Scoliosis Care

A Holistic Approach to Managing and Treating Scoliosis

 

How Scoliosis Progresses – Cobb Angle ClassificationScoliosis severity is classified using the Cobb angle, a measurement used by radiologists and spine specialists to assess the degree of curvature on X-ray imaging:

  • Mild Scoliosis (0°–25° Cobb Angle)
    May show few symptoms initially but carries a 22% to 68% risk of progression, especially during growth spurts.

  • Moderate Scoliosis (25°–40°)
    More noticeable spinal asymmetry, often accompanied by postural changes and potential pain. Risk of worsening increases without targeted intervention.

  • Severe Scoliosis (40° or more)
    Advanced spinal deformity with high likelihood of ongoing progression. May affect respiratory function, posture, and quality of life.


Traditional Scoliosis Treatments

Depending on severity, conventional care may include:

  • Observation ("Watch and wait")
    Common in mild cases, but risks missing early intervention opportunities.

  • Bracing
    Often prescribed in moderate cases. The Boston Brace, for example, aims to slow progression during growth. Effectiveness is limited by compliance and brace design.

  • Surgical Treatment
    For severe or rapidly progressing scoliosis, spinal fusion surgery is often recommended. While it may halt curve progression, it can also restrict spinal mobility and introduce long-term risks.


Clear Life Scoliosis And Chiropractic Center Modern Approach to Scoliosis Care

At Clear Life Scoliosis And Chiropractic Center, we offer a comprehensive, non-surgical treatment model designed to address the root cause of spinal curvature, rather than masking symptoms.

Our treatment approach includes:

  • CLEAR Institute, Fellowship Trained for scoliosis correction.
  • Advanced Training, ISICO, World Masters, Italy

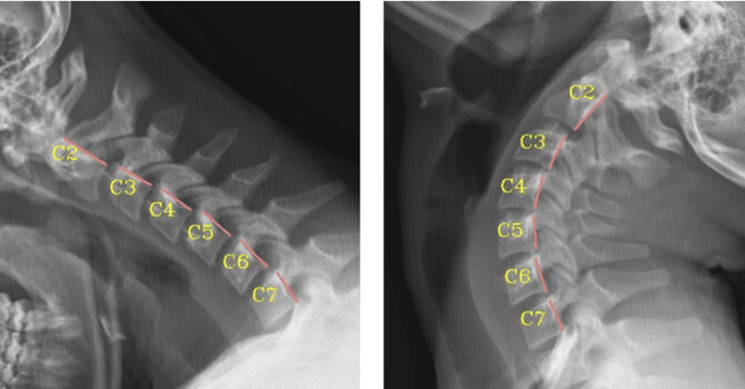
  • Advanced diagnostic imaging for accurate Cobb angle and spinal alignment assessment

  • Chiropractic BioPhysics® (CBP) and corrective chiropractic care

  • Neuromuscular rehabilitation to retrain spinal posture and stability

  • We implement the innovation including: Scolibrace, SpinCor Bracing, Scoliosis Activity Suit
  • Custom care plans based on age, curvature, and functional needs

We focus on real correction — not just monitoring or bracing.

  Tools we use:

What Is Scoliosis?

Scoliosis is a structural condition of the spine characterized by an abnormal lateral curvature that may be accompanied by vertebral rotation and changes in normal spinal alignment. Rather than being a simple postural issue, scoliosis involves three-dimensional alterations in spinal structure that can affect how the spine moves, loads, and adapts over time.

Scoliosis can present during childhood or adolescence, but it may also be identified or become more clinically relevant in adulthood due to degenerative changes, injury, or altered biomechanics.


How Scoliosis Affects the Spine

In individuals with scoliosis, the spine does not align symmetrically when viewed from the front or back. These structural changes may be associated with:

  • Asymmetric spinal loading

  • Altered sagittal alignment (side-view curvature changes)

  • Changes in spinal motion patterns

  • Muscular imbalance and postural compensation

The degree to which scoliosis affects function varies from person to person. Some individuals experience few noticeable symptoms, while others may develop discomfort, fatigue, or progressive changes over time.


Clinical Evaluation of Scoliosis

Evaluation of scoliosis involves a structured clinical assessment focused on spinal alignment, posture, and biomechanical function. A scoliosis evaluation may include:

  • Review of health history and symptom presentation

  • Postural and spinal alignment assessment

  • Functional examination of spinal movement

  • Neuromusculoskeletal evaluation

  • Review of imaging studies when clinically indicated

The goal of evaluation is not to generalize treatment, but to understand how scoliosis is affecting the individual patient’s spinal mechanics and functional capacity.


Non-Surgical Scoliosis Assessment

Non-surgical scoliosis evaluation focuses on documenting spinal structure and function, rather than making assumptions based solely on curve magnitude. This approach recognizes that scoliosis may influence spinal biomechanics differently depending on factors such as:

  • Curve pattern and location

  • Sagittal alignment

  • Age and skeletal maturity

  • Prior injury or spinal conditions

Clinical findings from evaluation help guide individualized decision-making and ongoing monitoring when appropriate.


When Evaluation Is Especially Important

A scoliosis evaluation may be particularly relevant when scoliosis is identified in the context of:

  • Growth and developmental changes

  • Progressive postural changes

  • Back or neck discomfort

  • Altered spinal mechanics following injury

  • Degenerative spinal conditions later in life

Because scoliosis is a structural condition, changes may occur gradually. Periodic reassessment allows clinicians to document stability or progression over time.


Clinical Oversight

All scoliosis evaluations at Clear Life Scoliosis And Chiropractic Center are conducted and reviewed by Dr. Justin M. Dick, DC, with attention to clinical documentation, biomechanical findings, and individualized assessment. Evaluation findings are interpreted conservatively and within the scope of non-surgical care. Wd have seen amazing results as published, https://clearlifescoliosis.com/reduction-of-ais-13-month-study


Important Considerations

Scoliosis presentation and progression vary widely between individuals. Information provided on this page is intended for educational purposes and does not replace individualized clinical evaluation or medical advice.

Scoliosis can affect posture, comfort, and overall quality of life, but the right treatment approach can make a meaningful difference. As the premier scoliosis care clinic in Charlotte, NC, we strive to make your experience less daunting. Our chiropractic experts use gentle and effective techniques to reduce discomfort, improve posture, and support long-term spinal health. Each care plan is tailored to your lifestyle, helping you achieve better balance and well-being. With us, you're not just a patient but a partner in your healthcare journey.

Personalized Care for Lasting Results

Scoliosis is a sideways curve of the spine. Everyone has normal curves in the spine, and when looked at from behind, the spine appears straight. However, children and teens with scoliosis have an abnormal S-shaped or C-shaped curve of the spine. Therapies such as massage, stretching, and traction are performed first to help loosen up the spine and prepare it for the chiropractic adjustments.

Whether it is pediatric scoliosis, recovery after auto accidents, or ongoing family chiropractic care in Charlotte, Berewick, Steele Creek and beyond, each scenario calls for a tailored approach that meets the needs of the individual. At Clear Life Scoliosis And Chiropractic Center, we have seen lives transformed and restored. When modern medicine says that it is impossible, we’ve seen overcomers.

Free Screening Assessement Scoliosis Care In Action

Scoliosis is a sideways curve of the spine. Everyone has normal curves in the spine, and when looked at from behind, the spine appears straight. However, children and teens with scoliosis have an abnormal S-shaped or C-shaped curve of the spine. Therapies such as massage, stretching, and traction are performed first, to help loosen up the spine and prepare it for the chiropractic adjustments. We, at Clear Life Scoliosis And Chiropractic Center, have seen lives transformed and restored. When modern medicine says that it is impossible, we’ve seen overcomers.



Book by Treatment

Justin Dick

Book Now

Clear Life Scoliosis and Chiropractic Center

8814 Rachel Freeman Wy, Suite 103
Charlotte, NC
28278

980.368.0766

office@clearlifescoliosis.com

View Staff & Treatments

Bend, Don’t Break. Discover Our Scoliosis Care

Take the first step to a healthier spine, book your appointment today
Book an appointment