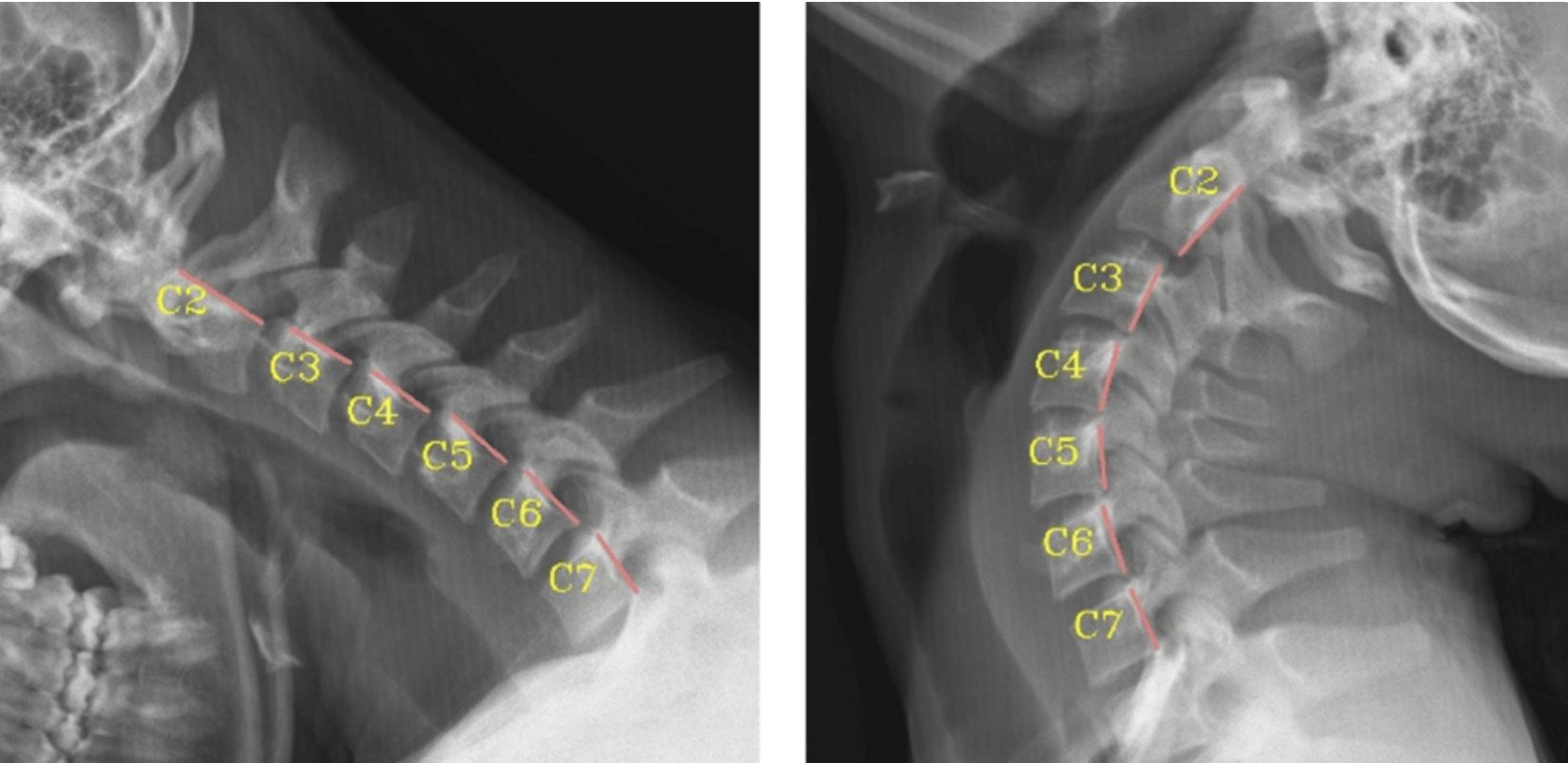
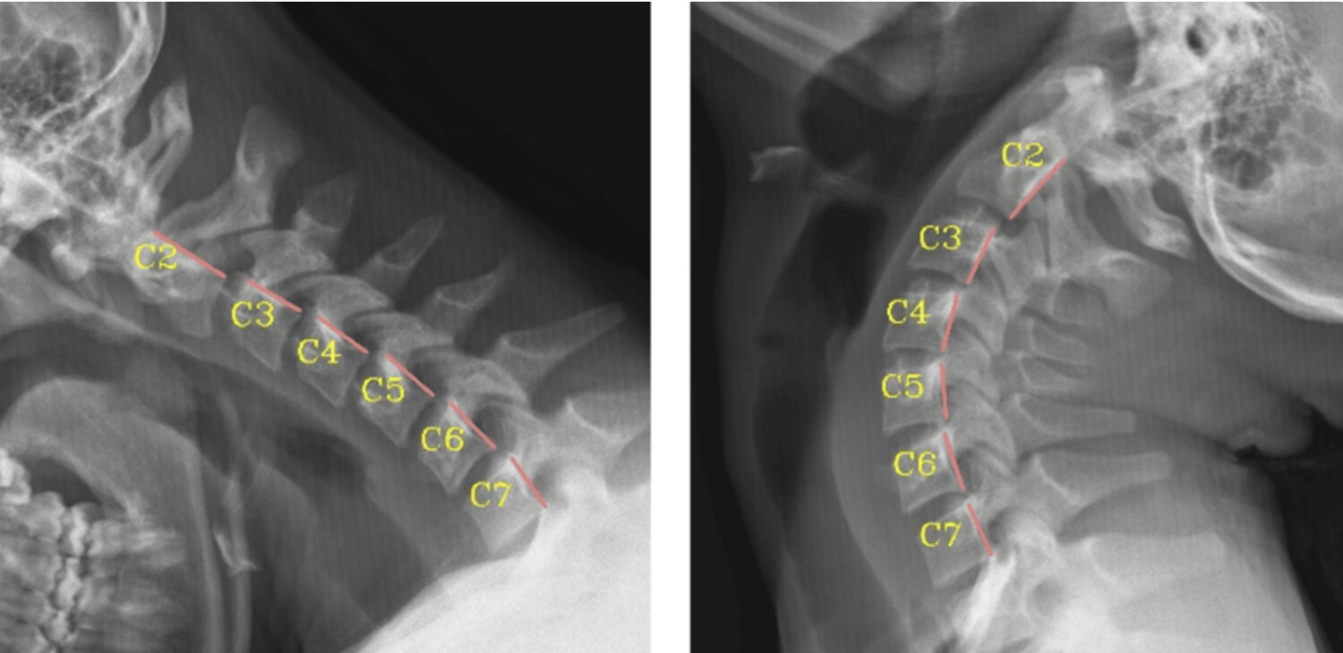
A recen peer-reviewed publication in a medical journal, a retrospective cross-sectional analysis of 37 adolescents and young adults with scoliosis to evaluate cervical spine biomechanics, finding that 100% of participants exhibited cervical instability and loss of normal lordosis, most often manifesting as increased translational motion (instability) particularly at the C3-C4 and C5-C6 segments, and pervasive cervical buckling patterns even when measured angular deviations were infrequent; these findings demonstrate a consistent association between abnormal cervical mechanics and adolescent idiopathic scoliosis, expanding the understanding of spinal biomechanics beyond the scoliotic curvature itself and suggesting that the cervical spine may play a substantive role in the complex biomechanical profile of scoliosis, warranting further longitudinal and etiological investigation.

 

Clear Life Scoliosis Reduction and Chiropractic specializes in finding and fixing the real cause of your discomfort. From advanced scoliosis treatment to personal injury recovery and preventive wellness care, we help Charlotte area residents reclaim their active lives. Call today and start your path to better movement, comfort, and control.

Full title:
A Retrospective Cross-Sectional Analysis of Abnormal Cervical Mechanics in Patients With Scoliosis

Justin M. Dick, DC Cureus. 2025. DOI: 10.7759/cureus.91098 (PubMed PMID: 41018459; PMCID: PMC12466043) Clear Life Scoliosis and Chiropractic Center, Charlotte, North Carolina, USA

One-sentence factual summary:
This retrospective cross-sectional study analyzed radiographic data from 37 adolescent idiopathic scoliosis patients to characterize abnormal cervical mechanics, finding a high prevalence of cervical instability, loss of normal lordosis, and buckling patterns that correlate with scoliosis biomechanics.

Direct outbound link to the Cureus article:
https://www.cureus.com/articles/402357-a-retrospective-cross-sectional-analysis-of-abnormal-cervical-mechanics-in-patients-with-scoliosis#!/

Further research can be found, Non-Surgical Scoliosis Care | Clear Life Scoliosis Huntersville, NC, as we strive towards excellence. 

Justin Dick

Justin Dick

Contact Me