12 Month Follow Up
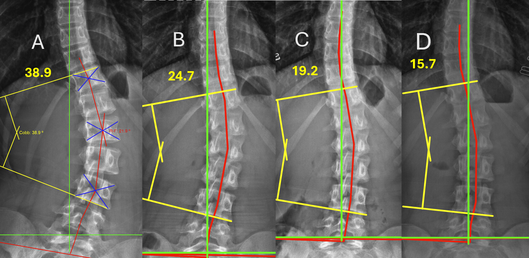
Results of a 2 week intensive with a 1 year follow up.
12 Month Follow Up
Results of a 2 week intnsive with a 1 year follow up.
13 Month Follow Up
13 Month follow up images in our office.
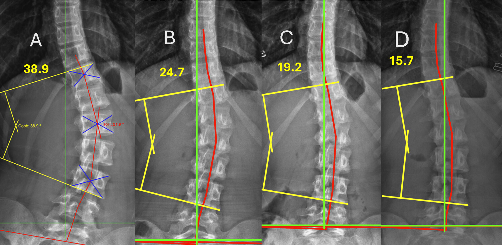
Results of a 2 week intensive with a 1 year follow up.
Results of a 2 week intnsive with a 1 year follow up.
13 Month follow up images in our office.